Потеря обоняния после COVID: у 65% необратимые нарушения
Помните, как в начале пандемии мы все пугались внезапной потери запахов? Казалось, что это просто странный симптом, который пройдёт вместе с болезнью. Но новые данные заставляют взглянуть на эту проблему иначе. И честно говоря, от них становится не по…
Читать далееКак мозг сканирует мир тета-волнами в поиске изменений
Вы когда-нибудь задумывались, как ваш мозг умудряется замечать, что в комнате что-то изменилось, пока вы смотрели в другую сторону? Оказывается, у него есть встроенный радар. И работает он не на радиочастотах, а на тета-волнах. Нейробиологи из…
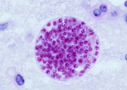
Читать далееПаразит, поражающий мозг миллионов людей, оказался гораздо более активным, чем считалось ранее
Новое исследование показало, что широко распространённый паразит, обитающий в мозге человека и животных, не находится в полностью спящем состоянии, как думали учёные. Исследователи из Калифорнийского университета в Риверсайде (UCR) обнаружили признаки…
Читать далееНевероятное открытие «скрытого мира» подо льдами Антарктиды
Расположенный вокруг Южного полюса южный континент, Антарктида — самый холодный и самый сухой регион на планете, самый ветреный, самый ледяной, самый южный, континент крайностей. Помимо своего географического положения, Антарктида играет…
Читать далееПропионат в сыре и хлебе нарушает обмен веществ: исследование Гарварда
Вы когда-нибудь задумывались, что скрывается за загадочным словом «пищевая добавка Е…» на этикетке любимого сыра или хлеба? Часто мы просто не обращаем внимания, считая, что раз продукт лежит на полке магазина, значит, он безопасен. Но…
Читать далееВ Иране умер «самый грязный человек в мире»
Аму Хаджи не мылся более пятидесяти лет, боясь заболеть. В Иране в возрасте 94 лет умер человек, которого прозвали «самым грязным человеком в мире». Блуждая по иранской пустыне, Аму Хаджи был отшельником, который десятилетиями жил в изоляции,…
Читать далееСнежные водоросли: жизнь на ледниках
Когда мы слышим слово «водоросли», воображение обычно рисует зелёные глубины океана или тину у пруда. Но природа обожает подкидывать сюрпризы. Оказывается, эти растения отлично чувствуют себя… на снегу. И могут превратить ледник в нечто, похожее на кадр…
Читать далееУчёные установили происхождение голосов, которые слышат люди, страдающие шизофренией
В недавнем исследовании, проведенном в Китае, учёные добились прогресса в понимании слуховых галлюцинаций у больных шизофренией. Это стало возможным благодаря обследованию, в ходе которого измерялась и регистрировалась электрическая активность мозга:…
Читать далееЖенщина спасена после 80-километрового дрейфа по морю в Японии
В четверг, 11 июля, японские власти объявили о том, что женщина, плававшая у одного из пляжей Японии, была спасена в 80 км от побережья после того, как дрейфовала в море в течение 36 часов. Эта исключительная история выживания привлекла внимание…
Читать далееСпорный «Синтетический проект генома человека» разжигает дебаты об этике создания человеческой ДНК с нуля
Новый амбициозный проект — «Синтетический геном человека» — ставит перед наукой и обществом сложные этические вопросы. Ученые работают над созданием искусственной человеческой ДНК, что открывает огромные возможности для медицины, но также вызывает…
Читать далееУчёные нашли генетическую связь между социальным поведением людей и пчёл
Учёные из Университета Иллинойса в Урбане-Шампейне обнаружили общие генетические черты, связывающие социальное поведение человека и медоносных пчёл. Новое исследование предполагает, что фундаментальные основы социального взаимодействия могут иметь…
Читать далееИИ нашел 12 000 новых антибиотиков в древних археях
Учёные используют искусственный интеллект для поиска новых антибиотиков в археях — древних одноклеточных микроорганизмах, известных своей способностью выживать в экстремальных условиях. Поскольку устойчивость к антибиотикам продолжает расти, делая…
Читать далееУчёные создали бьющееся сердце на 3D-принтере для тренировки хирургов
Исследователям удалось создать трёхмерную печатную модель сердца, способную имитировать сложные движения левых отделов человеческого органа, что открывает новые возможности для отработки хирургических вмешательств. Сердечно-сосудистые заболевания…
Читать далееВрач в Китае провел первую 5G-операцию на мозге удаленно
html Копировать Скачать Запустить Представьте: хирург сидит в кабинете на острове Хайнань, а его скальпель двигается в мозгу пациента за тысячи километров. Это не фантастика, а реальность китайской медицины. Доктор Линг впервые провёл дистанционную…
Читать далее