
Гибридная терапия обратила вспять диабет 1 типа у мышей
Представьте: берём клетки одного организма, подсаживаем их другому — и они не просто приживаются, а работают в команде, как старые друзья. Звучит как фантастика? А вот учёным из Стэнфорда это удалось. Правда, пока что с мышами. Но результат такой, что глаза разбегаются.
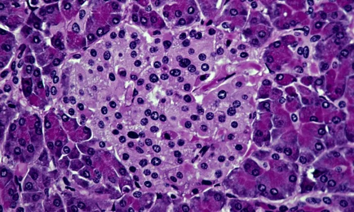
Экспериментальная гибридная терапия продемонстрировала высокий потенциал в лечении диабета 1 типа у мышей. Специально разработанный метод лечения показал стопроцентную эффективность в предотвращении развития болезни у животных в преддиабетическом состоянии и смог обратить вспять состояние у мышей с полностью развившимся заболеванием. Уникальность нового подхода заключается в успешном объединении клеток иммунной системы мыши-реципиента и мыши-донора, что позволило им сосуществовать в гармонии без необходимости применения иммунодепрессантов на протяжении как минимум четырёх месяцев.
Исследователи из Медицинской школы Стэнфорда, стоящие за этой работой, полагают, что такой же подход может оказаться успешным и для людей. Болезнь возникает из-за сбоя в работе собственной иммунной системы организма, которая атакует производящие инсулин бета-клетки островков поджелудочной железы. В ходе эксперимента иммунную систему мышей перед трансплантацией подготовили с помощью ингибитора иммунитета, низкой дозы радиации и специально подобранных антител. Затем животным пересадили комбинацию кроветворных стволовых клеток и островковых клеток от другого животного.
Задумайтесь: обычно пересадка чужеродных клеток — это сигнал тревоги для организма. Но тут случилось чудо инженерии.
В результате пересаженные клетки не были атакованы как чужеродные агенты, а иммунная система снова начала функционировать нормально. Учёные подчёркивают, что необходимо не только заместить утраченные островковые клетки, но и перезагрузить иммунную систему реципиента, чтобы остановить их дальнейшее уничтожение. Создание гибридной иммунной системы позволяет достичь обеих целей. Кроме того, ни у одной из мышей не развилась реакция «трансплантат против хозяина» — частое осложнение при пересадке клеток между людьми.
То есть мыши не просто выздоровели — их организм перестал видеть врага там, где его нет. Но, как это часто бывает в науке, за одной победой тут же вырастает гора новых вопросов.
Несмотря на обнадёживающие результаты, остаются проблемы. Например, островковые клетки можно получить только посмертно, и они должны происходить от того же донора, что и кроветворные стволовые клетки. Исследователи ищут способы повысить выживаемость донорских клеток или научиться производить их в лаборатории из плюрипотентных стволовых клеток человека. Учёные отмечают, что ключевые этапы исследования, ведущие к созданию гибридной иммунной системы, уже используются в клинической практике для лечения других состояний, что повышает шансы на успешное применение метода у людей.