
Паразит, поражающий мозг миллионов людей, оказался гораздо более активным, чем считалось ранее
Новое исследование показало, что широко распространённый паразит, обитающий в мозге человека и животных, не находится в полностью спящем состоянии, как думали учёные. Исследователи из Калифорнийского университета в Риверсайде (UCR) обнаружили признаки низкоуровневой активности Toxoplasma gondii в мозге хронически инфицированных мышей.
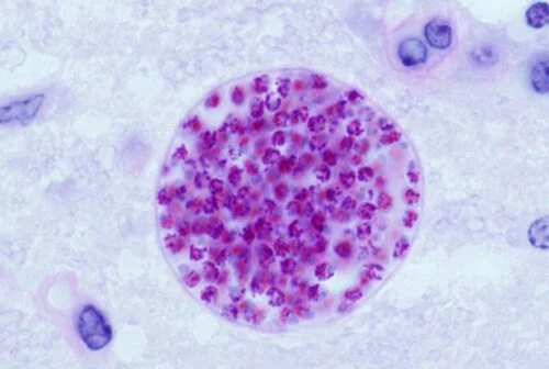
Более трети населения мира заражено этим паразитом, который проникает в мозг и размножается в кошках, используя мышей и других животных в качестве промежуточных хозяев. Обычно заражение происходит при контакте с кошачьими фекалиями или сырым мясом и протекает бессимптомно. Паразит образует цисты в тканях мозга, сердца и мышц, где может сохраняться в течение всей жизни хозяина, традиционно считаясь неактивным.
Однако исследование, опубликованное в журнале Nature Communications, опровергает эту точку зрения. Используя метод секвенирования РНК отдельных клеток, учёные обнаружили, что в цистах в мозге мышей присутствует не одна, а несколько различных субпопуляций паразита — до пяти различных форм. Эти формы развиваются и растут с разной скоростью и разными путями. Некоторые из них, выращенные в лаборатории, даже приближаются к стадиям, связанным с повторной активацией.
Как объясняет биомедицинский исследователь Эмма Уилсон из UCR, циста не является тихим укрытием. Это активный центр, где различные типы паразита ориентированы на выживание, распространение или реактивацию. Эта работа меняет представление о цисте как о центральном контрольном пункте жизненного цикла паразита и указывает на неё как на ключевую цель для новых методов лечения токсоплазмоза. Токсоплазмоз, болезнь, вызываемая T. gondii, может вызывать симптомы, похожие на грипп, и психиатрические симптомы, а у людей с ослабленным иммунитетом иногда приводит к судорогам или проблемам со зрением.
Исследование также показало, что в хронической стадии инфекции (через 28 дней после заражения) цисты содержат большее разнообразие субтипов паразита, чем в острой фазе. Учёные пришли к выводу, что процесс созревания паразита вряд ли является линейным и последовательным, что требует обновления понимания этой инфекции. По словам Уилсон, это исследование бросает вызов десятилетиям упрощённого представления о жизненном цикле токсоплазмы, помогая объяснить, почему прошлые попытки разработки лекарств боролись с трудностями, и предлагая новые, более точные цели для будущей терапии.