
Самый мощный в мире магнитно-резонансный томограф делает первые снимки
Только что был сделан важный шаг в области медицинской визуализации. CEA только что опубликовала первые изображения своего нового МРТ-сканера. Благодаря магнитной силе, превышающей 11 Тесла, полученные снимки намного четче, чем у других аппаратов. Это техническое достижение позволит врачам предложить более эффективное лечение нейродегенеративных и психических заболеваний.
Французской комиссии по атомной энергии и альтернативным источникам энергии (CEA) потребовалось 20 лет исследований и разработок, чтобы воплотить в жизнь проект Iseult. Это аппарат магнитно-резонансной томографии (МРТ), который, как утверждается, является «самым мощным в мире». Врачи, неврологи, физики и математики объединили свои усилия для достижения этой цели. Внушительная машина, которую они сконструировали, весит 132 тонны и содержит 182 км сверхпроводящих проводов. С помощью этого устройства они решили задачу получения самых подробных на сегодняшний день анатомических изображений мозга, открывающих доступ к ранее недоступной информации.
Прежде чем испытать МРТ-сканер Iseult на людях, несколько лет назад он впервые просканировал тыквы. Чтобы отметить начало его использования на людях, он был применен на 20 здоровых добровольцах. Полученные результаты поражают воображение, о чем недавно было сообщено в пресс-релизе CEA.
Мощное магнитное поле, раскрывающее беспрецедентные детали
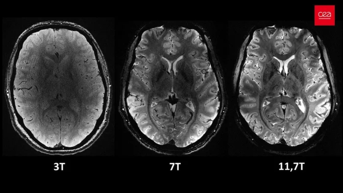
МРТ Iseult работает при максимальной магнитной мощности 11,7 Тесла (Т), что является исключительно высоким показателем по сравнению с обычными МРТ-сканерами. Обычно сканеры работают при гораздо меньших напряженностях магнитного поля, как правило, около 1,5 Т и 3 Т.
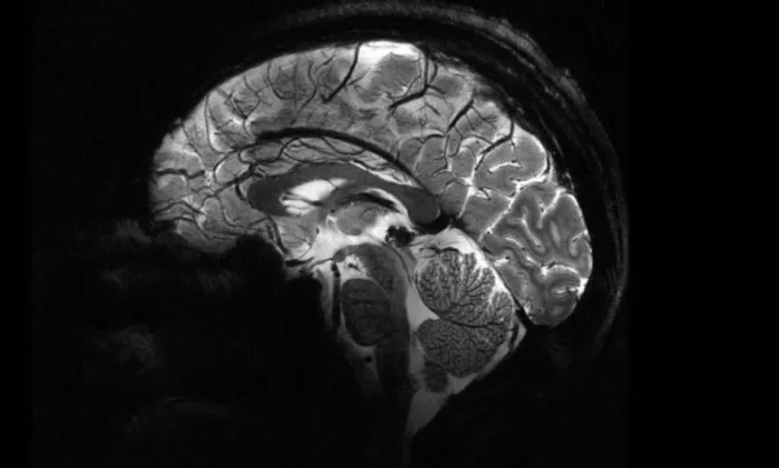
Такая высокая магнитная мощность обеспечивает лучшее качество изображения. Пространственное разрешение сканирования составляет 200 микрометров (мкм), то есть прибор может определить две точки, находящиеся на расстоянии всего 200 мкм друг от друга. Такое высокое разрешение обеспечивает более структурированные и точные изображения, что позволяет врачам более эффективно проводить исследования.
Высокая магнитная сила Iseult также означает, что изображения можно получить за рекордно короткое время (четыре минуты). При использовании обычного оборудования этот процесс занимает в среднем от 30 до 45 минут для мозга. «Мы можем получать изображения в масштабе нескольких тысяч нейронов, что означает, что всего за несколько минут мы можем получить очень точные детали анатомии мозга, его связей и активности«, — объясняет Александр Виньо, директор по исследованиям CEA.
Лучшее понимание мозга
Новое устройство должно в конечном итоге привести к лучшему пониманию механизмов работы мозга. Изображения могут более четко показать, как мозг кодирует ментальные представления (мысли, воспоминания и восприятие), а также предоставить дополнительные структурные детали.
Помимо фундаментальных исследований мозга, МРТ-сканер Iseult может помочь врачам в диагностике и лечении нейродегенеративных заболеваний. Полученные изображения позволяют выявить «химические сигнатуры», которые могут многое рассказать о неврологических заболеваниях. Эта информация незаметна при обычном сканировании МРТ. Если врачи обнаружат на снимках химические сигнатуры, связанные с нейродегенеративными заболеваниями, такими как болезнь Альцгеймера или Паркинсона, они смогут проводить более точное лечение и более эффективно вмешиваться в ситуацию.
Изображения высокого разрешения также облегчат оценку эффективности некоторых лекарств. Кроме того, они помогут понять, как литий влияет на мозг и как он там распределяется. Зачастую литий используется в качестве стабилизирующего настроение средства при биполярном расстройстве.