
Ученые превратили жировую ткань человека в функциональные органоиды без генетических модификаций
Китайские ученые разработали революционный метод создания функциональных органоидов из обычной жировой ткани взрослого человека. Новая технология, в отличие от существующих подходов, не требует сложного выделения стволовых клеток или их генетического перепрограммирования, что открывает путь к более простому и масштабируемому производству лабораторных моделей тканей для медицинских исследований и терапии.
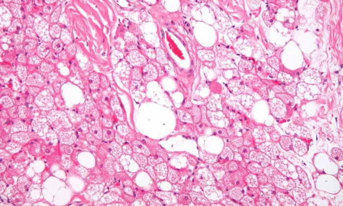
Исследователи из Шанхайского университета Цзяо Тун и Шанхайского института пластической и реконструктивной хирургии продемонстрировали, что обработанная особым образом жировая ткань способна самоорганизовываться в структуры, напоминающие костный мозг, панкреатические островки и даже нервную ткань. Ключевым элементом метода является использование так называемого реагрегированного микрожира – небольших пеллет, сохраняющих естественное клеточное разнообразие и микроокружение ткани. При культивировании в суспензии эти фрагменты самостоятельно реорганизуются и дифференцируются.
В эксперименте ученым удалось получить органоиды, представляющие все три зародышевых листка. Наиболее впечатляющие результаты были достигнуты при создании «очеловеченных» органоидов костного мозга. После имплантации мышам с иммунодефицитом пеллеты сформировали костные структуры с сосудистыми и эндостальными нишами, способные поддерживать человеческий гемопоэз – кроветворные стволовые клетки успешно приживались, размножались и дифференцировались.
Кроме того, команда вырастила из жировой ткани инсулин-секретирующие островковые органоиды. Полученные структуры реагировали на стимуляцию глюкозой увеличением секреции инсулина, а их трансплантация мышам с диабетом приводила к быстрой васкуляризации и восстановлению нормального уровня сахара в крови на протяжении всего эксперимента. Также ученые показали, что жировую ткань можно направить по эктодермальному пути, получая нейросферы, дифференцирующиеся в нейрональные и глиальные клетки.
Открытие свидетельствует о недооцененной ранее гибкости взрослой жировой ткани. Предложенная стратегия, устраняя необходимость в сложных манипуляциях со стволовыми клетками, может снизить технологические барьеры и стоимость производства органоидов. Учитывая доступность и обильность жировой ткани, метод способен ускорить трансляционные исследования в регенеративной медицине. По мнению авторов, опубликовавших работу в журнале Engineering, органоиды из жира в перспективе могут лечь в основу терапии диабета, гематологических и неврологических заболеваний, а также стать более релевантной человеческой платформой для доклинических испытаний лекарств.