
Почему бешенство вызывает боязнь воды?
Один из симптомов бешенства — боязнь воды. Этот страх вызван неспособностью пациента глотать жидкости, так как мышцы, контролирующие это действие, могут быть парализованы из-за вируса бешенства.
Бешеная собака терроризирует сонный городок, а детей прячут по домам. Его рот открыт, слюна капает, зубы оскалены, мускулы напряжены, глаза красные. Его безумие заставляет его кусать и рвать любого, кто приближается к нему.
Причина такого поведения — вирус бешенства.
Симптомы бешенства проявляются не сразу, так как есть период в месяц или два, который называется инкубационным периодом. После этого появляются симптомы гриппа. Возле укуса появляется покалывание, которое может длиться неделю. Симптомы поздней стадии — это те симптомы, которые мы обычно связываем с бешенством: агрессия, гиперактивность и гидрофобия. Вопрос в том … почему и как вирус это делает?
История бешенства
Древние культуры, такие как греки и римляне, хорошо знали о бешенстве. Греки знали это как Lyssa (ярость) или гидрофобию (боязнь воды). Римляне назвали это бешенством от латинского слова rabere, что означает ярость. Греки и римляне не знали ни одной другой болезни, которая проявляла бы такое безумие.
До появления Луи Пастера от бешенства не существовало лекарства или лечения. В ходе серии экспериментов Пастеру удалось ослабить вирулентность вируса до тех пор, пока он не стал достаточно безопасным для использования в качестве вакцины. 6 июля 1885 года к Пастеру был доставлен 9-летний мальчик Джозеф Мейстер, укушенный бешеной собакой. С тех пор вакцинация от бешенства спасла бесчисленное количество жизней.
Как вирус бешенства вызывает болезнь?
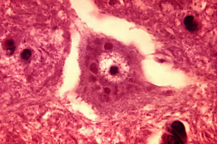
Как и любой другой вирус, бешенство использует клетки хозяина, чтобы сделать больше вирусов. Он вторгается в клетки хозяина и использует их клеточные механизмы для репликации. Новые вирусы вырываются наружу, разрывая клетку и распространяясь наружу, заражая еще больше клеток.
Симптомы на начальных стадиях заболевания похожи на грипп, включая лихорадку, озноб и усталость. К этому времени вирус уже успел достичь спинного и головного мозга, после чего он начинает сеять хаос в головном мозге.
Мозг воспаляется от энцефалита, как это называют врачи. Он заражает клетки мозга, изменяя их работу. Это влияет на несколько областей мозга, вызывая характерную агрессию и ярость, связанные с бешенством.
Ученые считают, что вирус бешенства захватывает определенные серотонинергические пути, влияющие на агрессию, но подробности этого неясны. Вирус также влияет на определенные рецепторы нейротрансмиттеров, называемые никотиноидными рецепторами, в мозге и мышцах, что приводит к параличу мышц.
Когда пациент становится гиперактивным и гидрофобным, у него также начинает выделяться слюноотделение — очень много.
Достигнув мозга, вирус попадает в слюнные железы и в слюну. Там они лежат в ожидании передачи другому хозяину. Единственная проблема — это передать вирус в слюне другому животному.
Вирус бешенства — паразит, поэтому его выживание зависит от перехода от одного хозяина к другому. Наилучший способ — либо попасть непосредственно в ткани существа, либо проглотить/вдохнуть. Вирус бешенства использует первый метод. Все это приводит к вступительной сцене бешеного пса. Агрессия и желание укусить что-то живое — это оригинальная форма вирусной манипуляции.
Как вирус бешенства вызывает боязнь воды?
Несмотря на то, что в прошлом бешенство называли гидрофобией, оно не вызывает настоящего страха перед самой водой. Гидрофобия вызывается сильной болью при глотании жидкости, а не только воды. Поэтому бешенство не порождает иррационального страха перед водой, так как вполне естественно бояться того, что может причинить боль.
С точки зрения вируса глотать нелегко. Богатая вирусом слюна не может заразить другого хозяина из кишечника первого хозяина. Заполнение рта слюной дает вирусу лучшие шансы на распространение. В сочетании с агрессивными и гиперактивными симптомами вирус вскоре попадет в другого хозяина.
Есть ли лекарство от вируса бешенства?
Мы до сих пор многого не знаем о бешенстве. Мы знаем, что вирус вторгается в клетки, и мы знаем, что он проникает в мозг. Мы также знаем, как мозг выглядит после вторжения, но фактического понимания болезни до сих пор не хватает. Какие нейронные пути он захватывает? Какие белки он изменяет?
Случай 2011 года вызвал еще больше вопросов. Считалось, что смертность от бешенства составляет 100%, как только вирус достигает мозга. В 2011 году школьница пережила бешенство без вакцины. Лечащий врач разработал протокол, чтобы попытаться спасти ее, и это сработало! Этот протокол теперь называется протоколом Милуоки, и он возродил любопытство к лечению и стратегии этого заболевания. Было ли лечение действительно эффективным или она просто заразилась более слабым штаммом вируса? На такие вопросы нет простых ответов.