
Самые интересные и увлекательные факты про бактерий
Бактерии — самая многочисленная форма жизни на планете. Они бывают разных форм и размеров, а также процветают в наиболее экстремальных условиях. Бактерии живут в вашем теле, на вашей коже и на предметах, которые вы используете каждый день. Ниже приведены 8 удивительных фактов о бактериях, которые вы, возможно, не знали.
Читайте также: Бактерии: друг или враг?
1. Бактерии стафилококка жаждут человеческой крови
Золотистый стафилококк (Staphylococcus aureus) является распространенным видом бактерий, который поражает около 30 процентов всех людей. У некоторых людей он является частью микробиома (микрофлоры), и встречается как внутри организма, так и на коже или в полости рта. В то время как есть безвредные штаммы стафилококка, другие, такие как метициллинрезистентный золотистый стафилококк (Methicillin-resistant Staphylococcus aureus), создают серьезные проблемы для здоровья, включая инфекции кожи, сердечно-сосудистые заболевания, менингит и болезни пищеварительной системы.
Читайте также: ТОП 7 страшных заболеваний человека, вызываемых бактериями.
Исследователи Университета Вандербильта обнаружили, что бактерии стафилококка предпочитают кровь человека по сравнению с кровью животных. Эти бактерии неравнодушны к железу, которое содержится в гемоглобине, обнаруженном в эритроцитах. Золотистый стафилококк разрывает клетки крови, чтобы добраться до железа внутри них. Считается, что генетические вариации гемоглобина могут сделать одних людей более желанным для бактерий стафилококка, чем других.
2. Бактерии вызывают дождь
Исследователи обнаружили, что бактерии в атмосфере могут играть определенную роль в производстве дождя и других форм осадков. Этот процесс начинается, когда бактерии с растений переносятся ветром в атмосферу. На высоте, вокруг них образуется лед, и они начинают расти. Как только замороженные бактерии достигают определенного порога роста, лед начинает таять и возвращается на землю в виде дождя.
Бактерии вида Psuedomonas syringae даже были обнаружены в центре крупных частиц града. Они продуцируют особый белок в клеточных мембранах, позволяющий связывать воду уникальным образом, способствуя образованию льда.
3. Борьба с бактериями, провоцирующими акне
Исследователи выявили, что некоторые штаммы бактерий, вызывающих акне могут фактически помочь предотвратить прыщи. Бактерия, которая вызывает акне — Propionibacterium acnes, обитает в порах нашей кожи. Когда эти бактерии провоцируют иммунный ответ, область на коже набухает и образуются прыщи. Однако, было обнаружено, что некоторые штаммы бактерий реже вызывают акне. Эти штаммы могут быть причиной того, что у людей со здоровой кожей редко появляются прыщи.
Изучая гены штаммов Propionibacterium acnes, собранные у людей с акне и здоровой кожей, исследователи определили штаммп, который был распространен на чистой коже и редко встречался на коже с акне. Будущие исследования будут включать в себя попытки разработать препарат, убивающий только вызывающие угри штаммы бактерии Propionibacterium acnes.
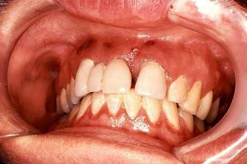
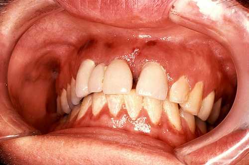
4. Бактерии на деснах могут привести к сердечно-сосудистым заболеванием
Кто бы мог подумать, что регулярная чистка зубов способна помочь предотвратить заболевания сердца? Ранее исследования выявили связь между болезнью десен и сердечно-сосудистыми заболеваниями. Теперь ученые нашли конкретную связь между этими заболеваниями. Предполагается, что и бактерии, и люди производят определенные типы белков, называемые стрессовыми белками. Эти белки образуются, когда клетки испытывают различные типы стрессовых состояний. Когда у человека есть инфекция десен, клетки иммунной системы начинают атаковать бактерии. Бактерии производят стресс-белки при атаке, а белые кровяные клетки также атакуют стресс-белки.
Проблема заключается в том, что белые кровяные клетки не могут различать стресс-белки, продуцируемые бактериями, и те, которые продуцируются организмом. В результате клетки иммунной системы также атакуют стрессовые белки, вырабатываемые организмом, что вызывает накопление лейкоцитов в артериях и приводит к атеросклерозу. Кальцинированное сердцеявляется основной причиной сердечно-сосудистых заболеваний.
5. Почвенные бактерии улучшают обучаемость
Вы знали, что время, проведенное в саду или работа в огороде, может помочь вам лучше учиться? По мнению исследователей, почвенная бактерия Mycobacterium vaccae способна улучшать обучаемость у млекопитающих. Вероятно, эти бактерии попадают в наш организм путем проглатывания или через дыхание. По предположению ученых, бактерия Mycobacterium vaccae улучшает обучаемость, стимулируя рост нейронов головного мозга, что приводит к увеличению уровня серотонина и снижению беспокойства.
Исследование проводили с использованием мышей, которых кормили живыми бактериями Mycobacterium vaccae. Результаты показали, что мыши, употребляющие бактерии, передвигались лабиринтом гораздо быстрее и с меньшим уровнем беспокойства, чем мыши, которые не питались бактериями. Ученые предполагает, что Mycobacterium vaccae играет определенную роль в улучшении решения новых задач и уменьшении уровня стресса.
6. Бактериальные силовые машины
Исследователи из Аргоннской национальной лаборатории обнаружили, что бактерия Bacillus subtilis обладают способностью вращать очень маленькие шестерни. Эти бактерии являются аэробными, то есть нуждаются в кислороде для роста и развития. Когда их помещают в раствор с микропузырьками воздуха, бактерии плавают в зубьях шестерни и заставляют ее поворачиваться в определенном направлении. Требуется несколько сотен бактерий, работающих в унисон, чтобы начать вращение шестерни.
Было также обнаружено, что бактерии могут поворачивать несколько соединенных между собой шестеренок. Исследователи смогли контролировать скорость, с которой бактерии крутили шестерни, регулируя количество кислорода в растворе. Уменьшение количества кислорода привело к замедлению бактерий. Удаление кислорода заставляет их полностью прекратить движение.
7. Данные могут храниться в бактериях
Можете ли вы представить себе возможность хранить данные и конфиденциальную информацию в бактериях? Эти микроорганизмы наиболее часто известны за способность вызывать заболевания, но ученым удалось генетически модифицировать бактерии, которые могут хранить зашифрованные данные. Данные хранятся в бактериальной ДНК. Информация, такая как текст, изображения, музыка и даже видео, может быть сжата и распределена между различными бактериальными клетками.
Путем сопоставления бактериальной ДНК ученые могут легко найти и получить информацию. Один грамм бактерий способен хранить тот же объем данных, который вмещается на 450 жестких дисках с 2000 гигабайтами памяти.
Зачем хранить данные в бактериях?
Бактерии являются хорошими кандидатами на биоуправление, потому что они быстро реплицируются, у них есть способность хранить огромные объемы информации, и они устойчивы. Бактерии размножаются с поразительной скоростью путем бинарного деления. В оптимальных условиях одна бактериальная клетка может производить до ста миллионов бактерий всего за один час.
Учитывая это, данные, хранящиеся в бактериях, могут копироваться миллионы раз, гарантируя сохранение информации. Поскольку бактерии настолько малы, у них есть потенциал для хранения большого количества информации, не занимая много физического пространства. Было подсчитано, что 1 грамм бактерий содержит около 10 миллионов клеток. Бактерии также являются устойчивыми организмами. Они могут выжить и адаптироваться к изменяющимся условиям окружающей среды. Бактерии способны выдерживать экстремальные условия, при которых обычные жесткие диски и другие устройства хранения данных выходят из строя.
8. Бактерии можно использовать для идентификации человека
Исследователи из Университета Колорадо в Боулдере показали, что бактерии, обнаруженные на нашей коже, можно использовать для идентификации людей. Бактерии на ваших руках, уникальны для вас. Даже у идентичных близнецов есть свои уникальные бактерии на коже. Когда мы прикасаемся к чему-то, то оставляем часть наших бактерий на предмете. Через бактериальный анализ ДНК, конкретные бактерии на поверхности могут быть сопоставлены с руками человека, который их оставил. Поскольку бактерии уникальны и остаются неизменными в течение нескольких недель, их можно использовать в качестве альтернативы отпечаткам пальцев.







